Ehhokardiograafia Autor: Helgi Jaagus
Ehhokardiograafia on südame uurimise meetod, mille puhul rakendatakse kõrgsageduslikku ultraheli. Ehhokardiograafiale pandi alus 1955. aastal, kui rootsi teadlane Inge Edler kasutas esmakordselt ultraheli südamehaige uuringul. Tänaseks on ehhokardiograafia läbi teinud tormilise arengu ja kujunenud unikaalseks oma käepärasuse, ohutuse ja suure informatiivsuse poolest, eriti aga seetõttu, et ta on mitteinvasiivne (uuring toimub kehapinnalt). Uuringu tulemused ei jää täpsuselt maha kompuutertomograafial saadud andmetest ja vastavad täpselt sellele, mis selgub operatsioonil (nt klapirikete puhul).
Ultraheliimpulsse saadetakse andurist uuritavasse koesse üks kord sekundis, kusjuures impulsi kestus on 1 millisekund. Ülejäänud 999 millisekundit töötab andur informatsiooni vastuvõtjana. Aastakümnete praktika on näidanud, et meditsiinilistel uuringutel kasutatavad ultrahelisagedused, mida rakendatakse pealegi väga lühiajaliselt, ei tekita organismi kudedes mingeid muutusi. Täiskasvanutel kasutatakse ultraheli sagedusega 2,5–3,5 megahertsi (MHz), lastel aga 5–10 MHz. Et ultraheli läbib halvasti luukude ja neeldub õhku sisaldavas kopsukoes, tuleb uurijal neid vältida. Uuringu ajal patsient lamab. Andurid paigutatakse 2.–5. roidevahemikku rinnakust vasakule. Teatud kehaehituslike iseärasuste puhul või kaasneva kopsuhaiguse korral kasutatakse söögitorukaudset ehhokardiograafiat, kus andur on liikuva endoskoobi tipus.
Uuring võimaldab saada andmeid südameõõnte suuruse, klappide ja südameseinte seisundi ning südamelihase töövõime kohta. Samuti saab selle abil diagnoosida kaasasündinud südamerikkeid, aordi patoloogiat, parema südamepoole patoloogiat kopsuhaiguste korral, vedeliku leidumist südamepaunas. See metoodika on abiks proteesklappide, südamesiseste trombide jms täpsemal uuringul. Saadud andmeid on võimalik ehhokardiograafi arvutisüsteemi abil analüüsida, salvestada ja registreerida valgustundlikule paberile, videolindile või magnetoptilisele kettale. Korduvuuringul on võimalik võrrelda saadud leidu haige eelnevate arhiveeritud uuringutega ning hinnata ravitulemusi.
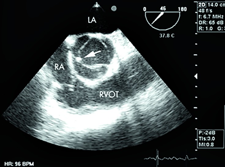
Ehhokardiograafiline meetod südame töö uurimiseks.
Südame aordiklapi ehhokardiograafilisel uurimisel saadud kujutis.
Nõuanded sel teemal
CRP kõrge
Tere.
tugeva köha ja kõrge palaviku korral 39,5 saatis perearst vereproovi tegema.
Analüüs järgmine:
CRP 212,0
Settekiirus 29
WbC 12,18
Neut 9,39
Määrati ...

Vastas dr Marge Kütt
Tere
CRP on tõesti kõrge. Ma loodan, et AB ravi foonil te paranesite ja ka CRP näit vähenes oluliselt.
Lugupidamisega
Marge Kütt
Vere analüüs
Tere! Minu arst on mulle alates jaanuarist 2025 määranud paari kuu tagant analüüse, kuna pidevalt on selliste vereanalüüside näitudes muutused nagu MPV, PDW, LCR, LYMP, HCT, RET%, RET, IRF
Saadan ...

Vastas dr Marge Kütt
Tere
Mina teie vereanalüüsides haigusele viitavaid muutusi ei näe. Põhjust hematoloogi poole pöörduda ka ma ei leia.Kahjuks ei ole te ka kirjutanud, mis oli vereanalüüsi tegemise põhjus ja ...
Tere. Mu mehel hct 49÷ja see punasega kirjas. Kas sellepärast jooksebki nina verd igal päeval nii kui kumnardab või pingutab väheke?
Saatsin mehe arstile, sest nina jookseb verd igapäevaselt. Vereproovis Hct 49% ja ainsana punasega kirjas, sest,et normiks seal kirjas 40-49. Kas see tähendabki, et veri on paks? Talle tehti mitu ekg d, ...

Vastas dr Marge Kütt
Tere
Nina verejooks võiks olla tingitud verevedeldaja ja ehk ka perioodiliselt kõrgema vererõhu koostoimest.
Htc näitu üksi ilma kogu vereanalüüsi nägemata ei ole võimalik kommenteerida. ...
Mis võiks põhjustada liigeste valu
Tere
umbes kuu aega tagasi pöördusin perearstile ürobleemiga,et põlved ja õlad valutavad,ei lase magada.olen 4 nädalat tarvitanud põletiku tablette ETOXIB,algul kaks nädalat võtsin 60 mg ja kui hakkas ...

Vastas dr Marge Kütt
Tere
Kahjuks ei ole te lisanud uuringute tulemusi.
Ravimite tarvitamine võib mõjutada neerude tööd kindlasti. Kuid sellisel juhul peaks reeglina ravimite võtmise järgselt mõju neerudele kaduma ...
Vererõhu rohi
Tere! Mul on kaks küsimust, esimene siin. Suvel vältööde aegu oli vererõhk kõrge. Arst soovitas võtta rõhu alandajat Coveram iga päev üks tablett. See viis aga rõhu väga alla – 110 kanti (varem oli 150 ...

Vastas dr Madis Veskimägi
Tere!
Teie kirjeldus annab väga hea ülevaate olukorrast — aitäh selle eest. Teie vererõhu ja ravi kirjeldus sobib tüüpilise hüpertensiooni kuluga, kus rõhk võib füüsilise koormuse ja stressi ...
ggt 54 о чем это говорит
в крови GGT 54.о чем это говорит

Vastas dr Marge Kütt
Tere
GGT väärtus on piiripealne ja eraldi võetuna ei pruugi see olla patoloogia.
Aga ainult ühe laboriuuringu väärtuse alusel ei saa inimese tervisele hinnangut anda.
Lugupidamisega
Loe edasi
Millist vereproovi oleks mulle vaja?
Olen üle 20 a. olnud süstiv diabeetik ja nüüd on ka näppude liigesed hakanud valu tegema. Kas nn kliiniline vereproov või mingi teine vereproovi liik oleks otstarbekas Teie arvates.

Vastas dr Marge Kütt
Tere
Hea, et küsite. Tavaliselt teevad inimesed hulgaliselt tasulisi mitteasjakohaseid vereproove ja soovivad siis nende lausel saada vastust neile muret tegevatele küsimustele. Kahjuks on ...
13a spordilapse verenäidud
Olen ise nii kaua kui mäletan, olnud aneemik, madala rauaga. Ilmselt on süüdi halb dieet ja toitumishäired, liha ei suuda üldse süüa. Rauapuudusega kaasnevad kõik tuntumad vaevused ka: külmad jäsemed, ...

Vastas dr Marge Kütt
Tere
Hematoloogilise uuringu konsulteerimiseks peab arst nägema tervet uuringut, mitte üksikparameetreid.
Hemoglobiini näidu järgi lapsel aneemiat ei ole.
Kasvueas kasutab laps ...
Eosinofiilid
Tere!
15 aastasel tüdrukul üldvere analüüsis eosinofiilid 1.9 E9/L ja monotsüüdid 0,76 E9/L.Leukotsüüdid 9,9.Ülejäänud näidud olid korras-üldveri ja vereäige.Tal oli 3 nädalat tagasi mingi väga tugeva ...

Vastas dr Marge Kütt
Tere
Hematoloogilise uuringu konsulteerimiseks peab arst nägema tervet uuringut, üksikparameetrid kliinilist infot ei kanna. Teie esitatud numbrid ei viita ka mingile iseseisvale patoloogiale. ...
LDH näit 393
Tere, kas on põhjust muretsemiseks? Või millele see võib viidata? Hematoloogi vaateväljas suurenenud lümfisõlmega kubeme piirkonnas.

Vastas dr Marge Kütt
Tere
Sellele kaebusele tuleb kindlasti tähelepanu pöörata. Lümfisõlmede suurenemine võib tekkida erinevatel põhjustel. Kindlasti vajate täiendavaid uuringuid plaanilises korras, mitte EMO-s. ...
Vaata kõiki nõustamisi




