Avitaminoos Autor: Merileid Saava
Avitaminoos ehk (täielik) vitamiinipuudus on pikaajalisest ja kestvast vitamiinivaegusest põhjustatud haigusseisund. Konkreetse vitamiini puuduse tagajärjel tekib kindla haiguspildiga ainevahetushaigus, näiteks beribeeri ehk B1 -avitaminoos, pellagra (karenahksus) ehk PP-avitaminoos, skorbuut ehk C-avitaminoos, aktiivne rahhiit ehk D-avitaminoos, kseroftalmia ja kanapimesus ehk A-avitaminoos jt. Tüüpilisel kujul esineb avitaminoosi rahu ajal siiski harva. Rahvusvahelises haiguste ja tervisehäirete klassifikatsioonis avitaminoose ei eristata, vaid vaadeldakse toitumisvaeguse alaliigina (vitamiinivaegusena). See on aktsepteeritav käsitlus, sest väga raske oleks tõmmata piiri sügava vitamiinivaegusseisundi ja avitaminoosi vahele.
Olulisemad vitamiinipuudusest tingitud haigusseisundid ehk avitaminoosid on järgmised.
Kseroftalmia võib tekkida vaegtoitumuse tagajärjel kujunenud retinooli (A-vitamiin) sügavast vaegusest või täielikust puudusest organismis. Iseloomulik on silma sarvkesta kuivaks muutumine koos edasise haavandumisega. On võimalik sarvkesta irdumine (keratomalaatsia). Viimane on ohtlik tüsistus, mis lõpeb pimedaks jäämisega. Kaasneb ka limaskestade ja naha kuivus, mistõttu suureneb infektsioonide oht. A-avitaminoosi tüüpilisel kujul esineb küllaltki sageli arengumaades sügava vaegtoitumusega (düstroofiaga) väikelastel. Tavaliselt algab haigus kasvupeetuse ning halva nägemisega hämaras (kanapimesusega), sest retinoolipuuduse korral katkeb nägemispurpuri (rodopsiini) süntees.
Beribeeri on B1 -vitamiini (tiamiin) puudusest või omastamise häirest tulenev ainevahetushaigus, mille korral koguneb verre liigselt piimhapet ja püroviinamarihapet. Selle tagajärjel sugenevad põhiliselt närvi- ja lihasetalitluse häired (polüneuriit ehk mitmenärvipõletik, koordinatsioonihäired, lihasevalud, krambid, halvatused) ning südamevaevused (südamekloppimisest kuni südamelihase nekroosi tunnusteni). Arenenud maades esineb beribeerit harva, kuid see võib kujuneda ühenduses kroonilise alkoholismiga.
Pellagra on PP-vitamiini (nikotiinhape ja nikotiinhappeamiid) ning mõnede B-vitamiinide puudusest ja/või samaaegsest valguvaegusest (aminohappe trüptofaani puudus), aga ka toitainete omastamise häirest (pikaajaline alkoholism ja kroonilised soolehaigused) tingitud avitaminoos.
Pellagra tüüpilisteks tunnusteks on villiline ja veritsev nahapõletik (dermatiit) päikesele avatud kehapindadel koos hilisema pigmentatsiooniga, keelepõletik, igemete valulikkus, kõhulahtisus, väsimus, närvivalud, depressioon, unetus, mälukaotus kuni nõrgamõistuslikkuseni. Arenenud maades on see haigus haruldane, kuid arengumaades esineb seda kroonilise valguvaeguse tõttu üsna tihti.
Skorbuut on pikaajalisest askorbiinhappe ehk C-vitamiini puudusest tekkinud haigus, mis algab väsimuse, isutuse, apaatia ja igemete veritsusega, lisanduvad liigeste valulikkus ning veresoonte haprus, mistõttu tekivad nahaalused verevalumid (sugeneb ka sisemiste verejooksude oht). Kogu organismi vastupanuvõime nakkustele ja haigustele nõrgeneb, hambad kukuvad välja, haavad ei parane ja luud murduvad kergesti. Et askorbiinhape on vajalik raua imendumisel ja vereloomes, tekib selle puuduse korral kehvveresus. Kogu organismi kudede hapnikuga varustatus halveneb sedavõrd, et tekib hingeldus, südamekloppimine ja lõpuks südamepuudulikkus koos tursetega. Haigus võib lõppeda surmaga, kui askorbiinhapet juurde ei saa.
Rahhiit on imiku- ja varases lapseeas esinev D-vitamiini puudusest või vaegusest tingitud ainevahetushaigus. D-vitamiini vaeguse kõrval täheldatakse teisi rahhiidi tekke põhjusi harvem. Pärilikud rahhiidivormid on seotud fosfaatide tagasiimendumise häirega neerudes või soolestikus.
Aktiivsena toimib D-vitamiin hormoonina, hoolitsedes kaltsiumi ja fosfori ainevahetuse eest soolestikus ja luudes. D-vitamiini vaeguse/puuduse korral ei imendu sooletraktist verre küllaldaselt kaltsiumi ja fosforit ning veres ilmneva mineraalainete puuduse asendamiseks tuuakse luudest välja kaltsiumi ja fosfaate. Selle tagajärjel peetub luukoe normaalne areng ja luud pehmenevad. D-vitamiini saadakse toiduga, ta imendub soolestikust. Peale selle on inimese nahal võime produtseerida D-vitamiini päikese ultraviolettkiirte toimel. Et D-vitamiin on rasvlahustuv, võivad ka rasvade seedimist või omastamist halvendavad seisundid takistada D-vitamiini imendumist soolestikust.
Rahhiit võib avalduda imikul 2.–3. elukuust kuni 2. eluaastani, enneaegsel lapsel varem, juba esimese elukuu lõpul. Rahhiidi jääknähte võib täheldada vanemal kui 1,5aastasel lapsel.
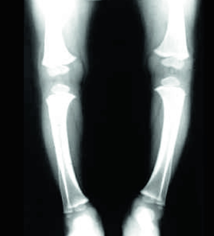
Rahhiit algab hiilivalt. Laps muutub virilaks, pahuraks, tema uni on häiritud ja rahutu. Kui laps magab või imeb, hakkab ta pea higistama, laps hõõrub kukalt vastu madratsit, mistõttu hõõrumiskohalt kaovad juuksed. Seejärel tekivad muutused luustikus, suure lõgeme servad muutuvad vetruvaks, kuklaluudes tekib koldeline pehmenemine ning kolju muutub ebasümmeetriliseks. Toruluude kasvupiirkondade kõhredesse tekivad paksendid. Vaagnaluud moonduvad, tekivad X- või O-jalad. Rindkere muutused hõlmavad roideid: roiete kõhre- ja luuosa piirile tekivad paksendid, mis üheskoos meenutavad palvekeed (nn rahhiitiline roosikrants); roided on kinnituskohtadelt sissepoole tõmbunud, tekitades sinna vao, rinnak võib kiiluna ettepoole ulatuda (kanarind). Hammaste lõikumine hilineb ning võivad esineda hambaemaili defektid. Lapse lihaste toonus alaneb, tekib punnkõht, motoorne areng peetub.
Haigust diagnoositakse kliinilise pildi alusel. Vereanalüüs annab ülevaate kaltsiumi- ja fosforiainevahetusest. Kaugele arenenud vormide korral võib luudes näha haigusele iseloomulikke muutusi. Ravi eesmärk on leevendada haigusnähte ning kõrvaldada haiguse põhjus. Selleks kasutatakse D-vitamiini ravidoosis ning antakse lapsele lisakaltsiumi. Kergem on haigust ennetada. Selleks tuleks püüda viibida iga päev värskes õhus, olla füüsiliselt aktiivne ning järgida eakohase toitmise soovitusi. D-vitamiini looduslikuks allikaks on kala, kaltsiumi saab organism piimast. Alates 5. elupäevast vajavad kõik imikud D-vitamiini. Päevane vajadus on 400 ühikut (5 tilka). Soovitatav on manustada lapsele ainult D-vitamiini sisaldavat preparaati, teisi vitamiine saab laps rinnapiimast või imiku piimasegust. Imiku piimasegudele on enamasti ka D-vitamiin lisatud. Piimasegudega toitmisel tuleb lisapreparaadi doseerimisel arvestada toidust saadavat kogust.
Vt ka hüpovitaminoos, kanapimesus.
Rahhiidi tagajärjel moondunud luustik.
Seotud teemad
Nõuanded teemal: Perearst
Millise arsti poole pöörduda süljenäärme te raviks
Haigutamisel valu lõua ja kõrva vahelisel alal,perearst mainis sülje nääre paistes sülg paks seda nagu polegi,millise arsti poole pöörduda,miski pärast perearst ainult mainis seda aga midagi ette ei võtnud ...

Vastas dr Madis Veskimägi
Tere!
Kui kaebused on kestnud juba mitu kuud ja perearsti hinnangul võib olla tegemist süljenäärmega, oleks mõistlik pöörduda edasi näo-lõualuukirurgi poole. See eriala tegeleb süljenäärmete haiguste ...
Rinndade juures embamugav tunne ja külma värinad
Mida teha kui rinnus on ebamugav tunne ja külma värinad

Vastas dr Madis Veskimägi
Tere!
Rindkere ebamugavustunne koos külmavärinatega võib olla seotud mitmete erinevate põhjustega – alates viirushaigusest kuni südame või kopsudega seotud probleemideni. Kuna sümptomid algasid äkki ...
Mis asi see on ?
Tere !
Mul on selline mure et mul tekkis näo peale huule juurde imelik asi, see tekkis kuidagi äkki , lihtsalt tekkis. Ma tahaksin teada mis asi see on ? See ei häiri mind ega midagi. Lisasin pildi ...

Vastas dr Madis Veskimägi
Tere!
Näo piirkonda võivad tekkida mitmesugused healoomulised nahamuutused – näiteks väike sünnimärk, fibroom, papilloom või rasunäärme tsüstike. Kui see on tekkinud äkki ja püsib muutumatuna, ilma ...
Olen haige
Tere päevast. Mul on suurenenud B 12 ja eosinofiilid on aastate jooksul vähenenud, kusihape on perioodide üle. Viimased markerid näitavad põletikku. IGE 4,41 on väga madal. Pidevalt pole jõudu, nõrkus ...

Vastas dr Madis Veskimägi
Tere!
Kirjeldate väga pikaajalisi ja keerukaid tervisemuresid – peavalud, pearinglus, väsimus, seedetrakti vaevused, analüüside muutused (B12 kõrgenenud, eosinofiilide vähenemine, põletikunäitajad). ...
Reflukshaiguse korral operatsioon.
Tere,
Kirjutan teile uuesti ja hetkel pole nendest ravimitest kasu olnud ja neelata on ka väga raske tahket toitu, ja eriti kui olen rase pean sööma, aga ei suuda toitu lihtsalt alla neelata. ...

Vastas dr Madis Veskimägi
Tere!
Reflukshaiguse korral kasutatakse operatsiooni (nn fundoplikatsiooni) ainult siis, kui ravimravi ei aita ja kaebused on väga rasked. Tavaliselt püütakse raseduse ajal siiski kirurgilist sekkumist ...
süda jätab lööke vahele
Tere! olen 17.aastne noormees ja süda jätab mul nagu lööke vahele, mingeid teisi sümptomeid ei ole sellega ainult in tunda et jätab vahele, millega võib tegu olla?

Vastas dr Madis Veskimägi
Tere!
Noorel inimesel võib südame löökide „vahelejätmine“ olla üsna sage kaebus. Seda tuntakse meditsiinis kui ekstrasüstoleid – südame üksikuid lisalööke või väikseid rütmihäireid.
Oluline ...
Kaaluseisu põhjused analüüside abil
Tere
Kas analüüside kaudu on võimalik teha selgeks kaaluseisu põhjuseid, kui jah, siis milliste analüüside? Probleem on selles, et peale 30ndat eluaastat lihtsalt kaalu on väga raske kuidagi ...

Vastas dr Madis Veskimägi
Tere!
Kehakaalu muutumist mõjutab väga palju tegureid – vanus, hormoonid, toitumine, kehaline aktiivsus, uni ja ka psühholoogiline stress. Pärast 30. eluaastat ainevahetus loomulikult aeglustub ning ...
Analüüsid
Tere,
tehti analüüsid, millest osad on referentsväärtustest väljas, kuna ilmselt läheb arsti kontaktini veel 2 kuud, siis küsin huvipärast, mida sellest võiks arvata.
Eelkõige ...

Vastas dr Madis Veskimägi
Tere!
Teile on tehtud väga põhjalik metaboolsete ainete analüüs, mida tavaliselt tellitakse geneetiku või ainevahetushaiguste spetsialisti poolt, et välistada haruldasi pärilikke haigusi.
Loe edasi
Fibromünalgia kahtlus
Olen tükk aega kahtlustanud endal fibromünalgiat. Olen selle kohta netist otsinud ja see läheb paljude probleemidega kokku, ma olen muidugi teadlik, et see võib ka mingi muu haigus olla. Küsisin ChatGPTlt ...

Vastas dr Madis Veskimägi
Tere!
Fibromüalgia on seisund, mida iseloomustavad laialdased lihas- ja liigesevalud, väsimus, unehäired ning sageli ka mäluprobleemid ja meeleoluhäired. Selle diagnoosimisel kasutatakse tõesti WPI ...
Sissekasvanud varbaküüs ja liigliha
Tere
Pikemat aega olnud probleemiks sissekasvanud varbaküüs. Paar nädalat ka kõrval liigliha, mis on viimastel päevadel hullemaks läinud. Varvas valus, puudutada liigliha ümbrusest ei saa. Astuda ...

Vastas dr Madis Veskimägi
Tere!
Sissekasvanud varbaküüs on üsna sage probleem ning kui tekib liigliha ja põletik, siis kahjuks enamasti kodused vahendid (jalavannid, õlid, salvid) enam ei aita.
Ravi võimalused:
Loe edasi
Vaata kõiki nõustamisi




